C T 室
C T(コンピューター断層撮影装置 computed
tomography) 
この装置は、身体を透過したX線を検出し、コンピューターで計算させ断面(輪切り)
の画像として身体の内部を見ることができます。
胸腹部の撮影では、呼吸によって臓器が動き画像にズレが生じるため長時間
(20〜30秒)壱岐を止めてもらう場合があります。
また、近年高速らせんCTの開発により、CTは飛躍的に発達し、精密な3D画像等
が得られるようになりました。
CTスキャナー

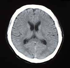
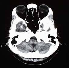
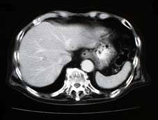
腹 部 頭 部 頭 部

頭部3DCTA(CT血管造影)