ケースリポート1

レジン充填を用いて前歯部の形態の微調整を行ったトランペット奏者の例

中川喜弘さん(初診時59歳)ジャズトランペット奏者

中川さんについてはご本人のホームページを参照してください
中川喜弘Trumpet Page....http://www.win.ne.jp/ ̄bxe05732/Nakagawa.html
※ご本人の希望で実名で公開しています

初診時

主訴:高音域で息が入りすぎるために口がしまる

初診時の口腔内写真

一見したところ、ほぼきれいな歯並び。オーバージェト、オーバーバイトともに+1mm程度と前歯の噛合わせは浅めではあるが、歯軸の傾斜も正常で、十分良い歯並びの部類に入るように感じた。年齢の割には歯肉の状態も良く、上顎左右臼歯部の歯頚部に少々楔状欠損があるが、問題はあまりない様子。治療や改造により、上左右1番間の三角のスペースが右側にずれている。また、左上1番の切縁が斜めになっている。

それまでの治療

上顎前歯
・右上1番を子供の頃に折り、15歳の頃に金インレーで修復した。
・30年前に歯を短くした。
・左右1番間を1〜2mm程三角に開けたが、4〜5年後に戻すために短く削った。
・6〜7年前に自分でヤスリでまた間を開け、一時は良くなったがppが出なくなったので、直後にレジンで埋めてもらい自分で調整。
・半年後にレジンがとれたので、とれないように歯を削り再度埋めてもらった。

下顎前歯
・右下2番が内側にあったため、健全な歯であったがポーセレン前装冠で形態を変えた。
・右下2番治療時に右下1番遠心が薄くなったため自分で飛ばし、現在三角の空隙がある。

犬歯、臼歯部
・前歯を削った後、下顎を動かしたときに当たるために全体的に削合したため、特に犬歯の先は平坦で象牙質が露出し、臼歯部も人工的に咬頭をおとした形跡がある。

注:歯を番号で表わしていますが、1番が真中の前歯で、後ろに行くほど番号が大きくなります。最も後方の第二大臼歯が7番、さらに後ろの親知らずが8番となります。それぞれ上下左右あります。また、近心は前方あるいは真中寄り、遠心は後方あるいは外寄りのことです

模型

上顎:正面からの印象ではあまり感じられないが、咬合面観を見ると、前歯部に軽い叢生があり、左右非対称である。しかし、以前の歯の治療や削合の影響から、舌側面はほぼ平坦である。 下顎についても、上顎と同様に前歯部に軽い叢生があり、左右非対称である。
下左右1番ともわずかに遠心に傾斜しているため、間に細い三角の隙間がある。また、右下1番がわずかに短い。
咬合させて下から前歯の関係を見たところ

初診時の演奏状態

ハイトーン

中音域

リムがやや右にずれ、マウスパイフがわずかに左に向いています。高音域ほどマウスパイプが右に向きます。
唇にマウスピースの跡がついていますが、右側にずれています。
 
highBを想定してリムを当て息を出した状態で撮影

リムの中央に上左右1番間の三角のスペースがきている。そのために上顎の正中とリムの中央が1.5mmずれている。
下顎の正中が上顎の正中に対して左に(下前歯の切縁で約2.5mm)ずれている。
白く写っているのが右上1番の金インレーと右下2番の前装冠ですので、参考にしてください。

highBを実際に吹いている状態で撮影

ご本人はほぼ歯を閉じて吹いている感覚ということでしたが、それなりに前歯は開いている(約3mm)。

前歯の開きは音域や音量によって変化します(音が低いほど歯が開く)ので、通常中音域でmp 程度で撮影していますが、今回は高音域の問題が主訴でしたので、highBで撮影しました。


模型で演奏時の状態をX線写真を参考に再現したところ。上左右1番間のスペース(やや右寄りにある)と、やや短い下右1番で空気の通り道が出来ているのが想像できる

 

治療経過

(この他に歯みがき指導、歯石除去を行っていますが省略しました。)

1回目

・やや短い左上1番の高さと唇側面の形態を右上1番に合せる。
・右寄りにある上左右1番間の三角スペースを埋める。
・息の通り道になっている右下1番遠心の三角スペースを埋める。
---以上をレジン充填で行った。すぐに現状が回復できるように、歯質・充填物は削合せず、そのまま盛り足した。

調子が良いようなので、このまましばらく様子をみて。良いようなら後日現在の充填物を除去してレジン充填をやり直すことに。

「上から下までつながる感じ」(ご本人)
音にスピード感が出たように感じた(私)


2回目

3週間吹いてみたが、ハイトーンが出ない(全く出ないわけではなく、かなり高い音域のタンギングが楽にできない)ため、底辺1.5mm、高さ1mm程度の小さな三角を左右1番の中央につける(それまでの三角とは違う位置)。

ハイトーンが改善した。息が入るようになった。

 
3回目

凹んでいる右上2番の近心を厚くし、右上1番とのギャップをなくして左右対称にレジンを盛った。

音域によるマウスパイプの左右的なぶれが減少した。

 
4回目

わずかに短い右下1番をレジンで長くし、左下1番とそろえた。

セッティングがしやすくなった(中川さんはアンブシャを作るとき、一度前歯を噛合わせてから、下顎のポジションを決めるとのこと)。

 
5回目

特に問題がないようなので、上左右1番の過去の充填物を除去し、レジン充填にてそれまでの形態を再現した。
このとき、わずかに長めに充填し吹きながら高さを微調整したが、最終的には同じ長さとなった(長い状態だと全くハイトーンが出ない)。

上の歯列はほぼ左右対称になったが、
下から見ると上下前歯のギャップが少々残るのがわかる


(奥で噛まずに前歯をそろえた状態)
6回目 左下2番の唇側を全体的にレジン充填で厚くし、左下1番とのステップをなくす。  
7回目

左下2番の舌側の近心をエナメル質の範囲内で削合した。

息の流れがスムーズに行くのか、良くなったような感じがするとのこと。

前の処置から1ヶ月半経過し、マウスピースのボアの太さを0.07mm太くした(3.63mmから3.70mmへ)。いままでのマウスピースでは、アタックが出来ないとのこと。
8回目

左下1番の唇側の近心をレジン充填で厚くし、右下1番と唇側面が同じになるようにした。

下左右1番の正中に三角のスペースを作った(1mm程度)。

右下1番の切縁にレジンをわずかに盛って、前方運動時のガイドになるようにした。


(奥で噛まずに前歯をそろえた状態)

9回目

10回目

象牙質が露出してしまった上下左右犬歯の切縁にレジンを盛って、側方運動時に犬歯誘導できるように調整した。

左上4番5番の楔状欠損(歯肉近くがえぐれている状態)にレジン充填。

この2回の処置は直接演奏に影響はない。

マウスピースのボアは3.73mmの物を使用している。(中川さんによれば、息が入る量が減ったのでそれを受け止めるボアは大きい必要があるからとのこと。)

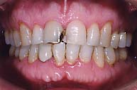
治療後

治療後の口腔内写真

ほぼ美しい歯並び。

短かった前歯(上左右1番)の長さが回復したことでオーバージェト、オーバーバイトともに少々浅めではあるがバランスがとれ、歯列の前後的なカーブも自然になった。

本来ならば前装冠あるいはラミネートベニヤといった補綴物により処置をするところだろうが、歯の切削をほとんどおこなわずにレジン充填材を用いた処置でここまでできた。楽器を吹きながらの形態の微調整が容易であることが第一のメリットである。もちろん色や形態は完璧とは言えないし、将来的に変色や脱落・破損の可能性が高いが、その時はまた修復すればよいことにして、本人も満足しているし、この方法でよかったのではないかと考えている。

治療後の模型

上顎:唇側面、切縁とも、ほぼ左右対称である。舌側面は元々ほぼ平坦であったが右上2番の歯頚部寄りがわずかに捻れている。 下顎:前歯の唇側面、切縁のラインともスムーズにはなったが、カーブが左右非対称であり、カーブの中心(最も凸の位置)が右に寄っている。 咬合させて下から前歯の関係を見たところ:上下のバランスは申し分ないが、正中がずれている。

治療後の演奏状態

 

ハイトーン

 

中音域

リムがやや右にずれ、マウスパイフがわずかに左に向いているのは変っていない。
治療の効果というわけではないが、音域によって、マウスパイプの傾きと視線(=顔の向き)が違うことに注目。

highBを想定してリムを当て息を出した状態で撮影

治療により上顎左右1番間の三角スペースの位置は変わったが、上顎の正中とリムの中央のずれは、治療前とほぼ同じである。
上顎正中に対する下顎正中のずれは左に1mm強で、治療前よりもずれの程度が減少している。


レジン充填処置をした部分は、天然の歯よりも少々白が強く写ります。

highBを実際に吹いている状態で撮影

前歯の開きは約2mmで、治療前に比べて狭くなっている。上下の前歯を長くしたためであり、下顎の上下的な位置は治療前とほぼ同じであるが、前後的には約1mm前に出ている。
それに伴い頭部に対するマウスピースの向きが、わずかに上向きになっている。

(下図の黒線は治療前、赤線は治療後、共にhighB吹奏時)

 


模型で演奏時の状態を再現したところ。
上下の前歯の開きがほぼ左右対称で均一である。

(02.3.14/03.4.11 更新)


TOP