歯科矯正治療の開始時期について
治療を開始する時期については、いろいろな考え方があります。
一般的には、早期発見早期治療が最初に頭が浮かびます。症状が軽いウチに治療を開始した方が治りが早いですし、治療効果が出やすいのです。
舌の機能発達不全(舌突出癖として現れる)においては、早く治療したほうが身につきやすいので、できる限り早期に開始した方が良いと考えます。極端な話、成人してから治すのは非常に難しくなります。正常な嚥下(ゴックン)が身についていないと、40歳ぐらいからムセが始まったりしますし、高齢になったときに誤嚥を起こすリスクが上がります。
舌の機能(働き)と不正咬合(形態)とは、卵とニワトリの関係のように、「どちらが先か?」の問題となります。舌突出癖があれば前歯部開咬や上顎前突になりますし、前歯部開咬や上顎前突があれば舌を上ゲ前歯の間に挟まなければ正常な嚥下をすることはできません。
以上より、治療は舌の機能を正しながら不正咬合という形も修正してゆく、あるいは不正咬合を治療しながら舌の機能訓練(トレーニング)をするという二方向からのアプローチが必要となります。
叢生は、歯の大きさと顎の大きさ(広さ)の関係により決まります。歯の大きさをA、顎の大きさ(歯が並ぶのに必要な顎の大きさ)をBと置きますと、A<Bなら叢生、A=Bならきれいな歯並び、A>Bなら隙間のある歯列弓(空隙歯列弓)となります。食物を噛めないあるいは噛まないことにより、顎(歯槽骨や歯列)の成長が正常に行われない場合、咀嚼訓練をしながら歯列を広げたり、歯列を広げながら噛むトレーニングや舌のトレーニングを行います。これで改善されない場合は、歯の本数を減らして歯を並べる治療となります。
歯の大きさと顎の大きさの関係は家の広さとそれが建つと土地の広さの関係で理解出来ます。間取りの合計が50坪欲しいけど、土地が30坪しかない場合、平屋(1階建て)で家を建てるのは不可能ですが、二階建てなら可能です。どうしても50坪の平屋を建てたいのなら、50坪以上の土地を購入するしかありません。
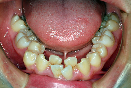
下の写真は舌小帯が短いため(舌小帯拘縮症)に、下顎歯列の成長が十分でなかったため下顎前歯が二枚歯状態になった叢生症例です。なお、舌小帯拘縮症も学校歯科健診の診査項目に入っております。舌の小帯(ヒモ)を伸ばす手術は、簡単な手術で治すことができ、健康保険が適用されます。浜松市であれば18歳までなら費用は500円で済みます。出来ればリハビリテーションとして専門医あるいは言語聴覚士(ST)を受診して、舌のトレーニングを受けるのが望ましいと考えます。
