学校歯科健診の意義を考える
~特に不正咬合の診査について~
義務教育における健診(学校健康診断)は、学校安全保健法という法律によって定められ、実施の方法については文科省からの文章(通達)が出されています。
そのひとつである健康診断実施マニュアル1)の中には以下の文章があります。
☆学校における健康診断の目的と役割
学校生活の円滑な実施と児童生徒等の健康の保持増進を図るために実施されるもので あり、その役割は大きく2つあります。
①家庭における健康観察を踏まえて、学校生活を送るに当たり支障があるかどうかについて疾病をスクリーニングの上、健康状態を把握すること。
②学校における健康課題を明らかにして健康教育に役立てること。
歯科の内容を平たく言い換えれば、「歯が痛くて勉強や学校生活や活動ができなくなったら困るでしょ。加えて、生きている間、歯・口から始まる病気から健康を守る方法を知っておきましょう。」ということです。文科省としては、②については「生きる力」を育む学校での歯・口の健康づくり2)を出しており、さらに詳しく解説しています。
この冊子では、学校における歯科保健活動は,教育活動の一環として行われ,子どもの生涯にわたる健康づくりの基盤を形成し,心身ともに健全な国民の育成を期す活動である、としています。昭和時代のむし歯だけ診ていれば良い、という歯科健診ではなくなっております。
不正咬合をチェックする意義
これに関して文科省の出している文章は、「学校歯科健診における不正咬合の意義は、児童生徒が正常な発育をしているか、健康かどうかを検査し、問題がある場合は早めに適切な対応をしてもらい、健康管理を行うことです。」となっています。
具体的ではなく、理解しにくいので以下に解説します。
不正咬合を説明する前に、正常咬合を定義しなくてはいけないわけですが、学校歯科健診では前歯奥歯がしっかり噛み合っているか、で判断します。
![]() |
①正常咬合:上下前歯の被蓋(被さりかた)が水平的にも垂直的にも2~3mmである状態 |
![]() |
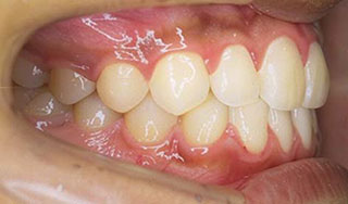
②上顎前突(俗に言う、出っ歯):上顎前歯が下顎前歯よりも前方に離れた状態をいい、その量が 6 ~ 7mm離れていれば上顎前突の判定は「2」です。 |
![]() |
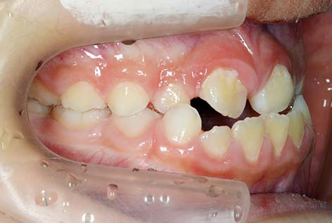
③反対咬合(俗に言う、受け口):下顎前歯が上顎前歯の前にあり、2 歯以上が反対であれば、判定は「2」となります。 |
![]() |
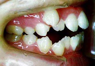
④開咬: 上下前歯が垂直方向で噛み合っていない状態。6mm 以上離れていれば、判定「2」とします。 |
![]() |
⑤過蓋咬合:前歯の噛み合わせが深すぎる(噛んだ時に下顎前歯が見えない状態 ) で、判定「2」。(将来的に顎の痛みが出るリスクあります。) |
![]() |
⑥臼歯部交差咬合:奥歯の噛み合わせが反対で顎偏位を伴います。写真は、右側臼歯部交叉咬合により、下顎が右側に偏位した症例。 |
![]() |
写真⑦は矯正治療前後の比較です。放置すれば顎関節発症の可能性があります。 |
![]() |
⑧叢生(乱杭歯):歯が重なり合ったり、不規則に並んだりする状態を指します。 具体的には、歯がガチャガチャと生えているように見えることが特徴で、見た目の問題だけでなく、歯垢(プラーク)が貯まりやすくなり、むし歯や歯周病のリスクが高まります。主な原因は、歯のはえる場所(スペース)の広さと歯の大きさのアンバランスによります。 健診基準は、隣り合う歯が4分の1以上重なっていれば判定「2」とします。 |
![]() |
⑨舌小帯拘縮症(短縮症):舌小帯(舌の裏のヒモ)が短いと、舌の運動が十分にできないので発音・嚥下機能だけでなく、歯列の成長を妨げ、結果このような重度の叢生となります。 |
※不正咬合の判定「2」であれば、専門医(歯科医師)への受診を勧めます。判定「1」ならば定期的観察が必要、とします。問題がなければ、判定「0」です。
☆口の機能(働き)
口腔の機能には、食べること(咀嚼、嚥下)、話すこと(構音)、呼吸することがあります。これらの機能が正常に働くことで、日常生活がスムーズに進むだけでなく、全身の健康にも大きな影響を与えます。
前歯部に不正咬合があれば、前述の機能が正常に行えません。前歯部開咬なら前歯で噛めません。重度の上顎前突症であれば口唇閉鎖が困難になり口呼吸となります。開咬症や上顎前突では舌は嚥下時に上下前歯の間に挟まれます。この時の嚥下は、成熟型(成人型)の嚥下とは異なる乳児型の嚥下(丸呑みのゴックン)となり、歯列や嚥下関連筋や口腔周囲筋の発達に悪影響を及ぼします。
口腔は構音器官でもありますが、上顎前突や開咬がある場合、t音(タ行)☆の構音点が前にずれるため、滑舌の悪いしゃべり方になります。舌が正しく使えないと歯列の発達にも悪影響を及ぼします。
☆歯垢(プラーク)とは?
白色または黄白色の粘着性のある物質で、主に食べ物の糖分をエサにして増殖した細菌の集合体です。1mg のプラークには、約1 億個以上の細菌が存在すると言われています。プラークは、歯の表面や歯と歯ぐきの境目に形成され、放置するとむし歯や歯周病を引き起こす可能性があります。よって、学校歯科健診でも診査項目に加わっており、歯垢が歯冠 3 分の 1 に付着していれば判定「1」、3 分の 2 を超えれば判定「2」となります。
☆むし歯とは?
原因菌が酸を出して歯を溶かしてゆく病気です。放置すればどんどん歯が溶けてゆきます。だから、まずむし歯を作らない (=予防 )、できてしまったら小さいうちに治す (=早期治療 ) 必要があります。事後処置として、治療勧告書が発行される由縁です。
むし歯の予防にはフッ化物の応用があります。フッ化物の利用に関してご興味のある方は、「う蝕予防の実際 フッ化物局所応用 実施マニュアル 3)」 をご参照ください。
☆歯周病とは?
歯垢の中で歯周病菌が増えると毒を放出し、歯肉が腫れます。最初は痛みなどの症状もなく進行し、歯みがきする時の出血で気がつきます。歯周病 ( 歯肉やその中の歯槽骨を壊す病気 ) の初期状態が歯肉炎です。歯周病は進行すると全身にも悪い影響を及ぼします。糖尿病(悪化させる)、心筋梗塞・脳梗塞(リスク増)、誤嚥性肺炎(原因)、早産・低体重出産(リスク増)、骨粗鬆症(関連性)、腎臓病など、多くの深刻な全身疾患と深く関連しています。
歯肉炎は適切な歯みがきで歯垢を除去することで改善しますので判定「1」から歯科医院への受診を勧めます。歯石は日常の歯みがきでは除去できず、そのざらざらした表面にプラーク(細菌の塊)が付着しやすくなるため、むし歯や歯周病の温床となりますので歯石を取るために歯科医院への受診を勧めます。
☆8020 運動とは?
噛むことに必要な歯をたくさん残そうということです。むし歯や歯周病で歯が無くなったら、噛めませんものね。
☆まとめ(機能と形態の問題について)
アレルギー性鼻炎やアデノイド肥大があれば口呼吸となり、口唇閉鎖ができないため上顎前歯の突出により上顎前突症になります。悪習癖(指しゃぶり、頬杖)
でも歯ならびは変形します。
不正咬合という形(形態)と口腔の働き ( 機能 ) はニワトリと卵のようにどちらが後先?という密接な関係にあります。口腔機能の発達不全は筋肉や骨格の成成長に影響を与えますから、当然成人になった後にも残ることになります。
不正咬合と口腔機能は若年者のほうが治療が比較的容易であるので、学校歯科健診で指摘することになったと考えます。
口腔機能発達不全症が2018年から保険病名に入っています。若年者でおおよそ30%ぐらい存在すると思います。不正咬合もだいたい30%ぐらいあると各種調査で報告があります。
成長期に獲得すべき口腔機能が100%身につかていない人間が成人し高齢者になった時、オーラルフレイルの症状(ムセ、嚥下困難)が容易に進行するでしょう。ちゃんとゴックン出来なければ誤嚥性肺炎のリスクが高まります。子どものうちにしっかりと不正咬合の裏に隠れている口腔機能不全を診断することは非常に意味があることと考えます。
☆最後に
学校歯科医として確実に健診し、事後報告で児童、保護者に「歯口腔から始まる健康」について考えて貰えるよう工夫努力してゆきたいと考えております。
参考文献
1)児童生徒等の健康診断マニュアル平成27年度改訂:https://www.gakkohoken.jp/book/ebook/ebook_H270030/data/681/src/H270030.pdf?d=1765346698141
2)「生きる力」を育む学校での歯・口の健康づくり :
https://www.gakkohoken.jp/book/ebook/ebook_R010050/data/250/src/R010050.pdf?d=1765346600942
3)う蝕予防の実際 フッ化物局所応用 実施マニュアル:https://gigaplus.makeshop.jp/shahoken/downloadDoc/160350-sample.pdf








